Vakalar
vaka_img

All-on-6 Guided Surgery

Dr. Kent Hamilton

vaka_img

Baştan Sona Platform Switch

Dr. Kent Hamilton

vaka_img

Otojen Kemik Grefti ile Çekim Sonrası İmplant

Dr. Manuel de la Rosa

vaka_img

Soket Koruma ile Immediate Yükleme

Dr. Manuel de la Rosa

vaka_img

Immediate Geçici Protez Yüklemesi

Dr. Manuel de la Rosa

vaka_img

Soket Koruma ve Immediate Yükleme

Dr. Manuel de la Rosa & Dr. Roberto Anzaldua

vaka_img

All-on-4 ile Yüz Estetik Tasarımı

Dr. John Heimke

vaka_img

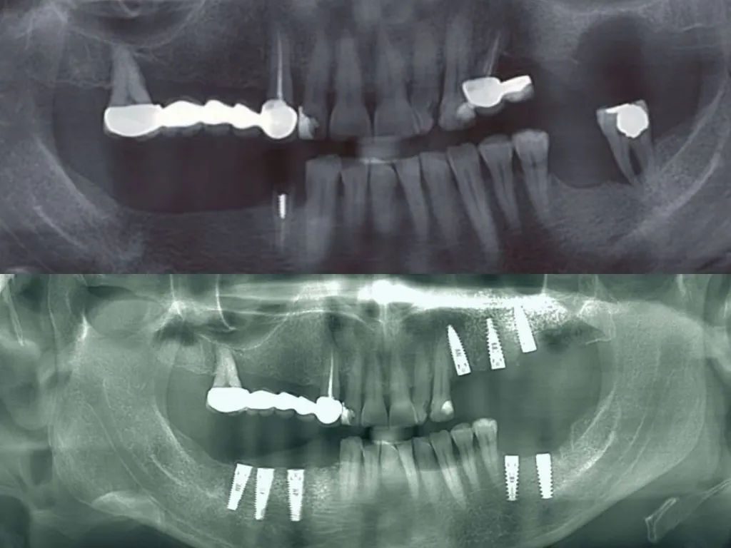
Kemik Augmentasyonu, Zigoma İmplant ve Multi Unit Sistem

Dr. Justin Wright

vaka_img

Guide ile All-on-5 ve Immediate Yükleme

Dr. Edward Shapiro

vaka_img

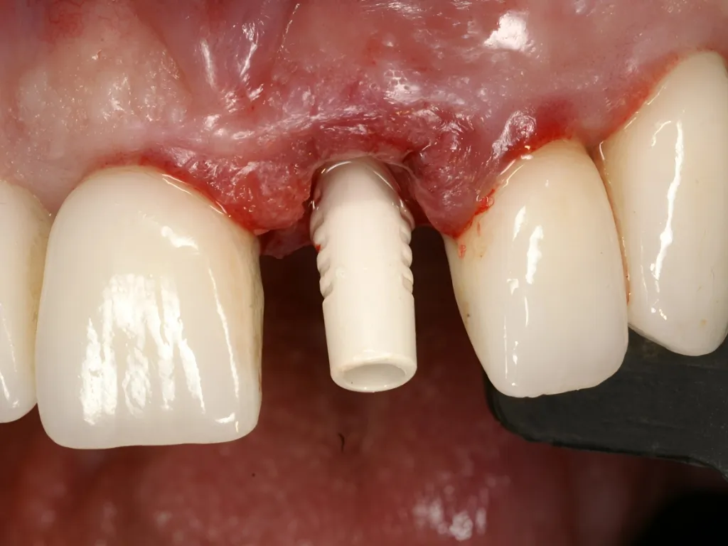
İmplantın Üstüne Kemik Yürümesi

Dr. Edward Shapiro

vaka_img

Kemik Redüksiyonu ve Osseodensifikasyon

Dr. Edward Shapiro

vaka_img

Basit İmplantoloji, Kret Ayırma ve Sinüs Kaldırma

Dr. Sami Swaid

vaka_img

Diş Çekimi Sonrası Immediate Yükleme

Dr. Alejandro Freer

vaka_img

Flepsiz Cerrahi

Dr. Firdaus Hanapiah

vaka_img

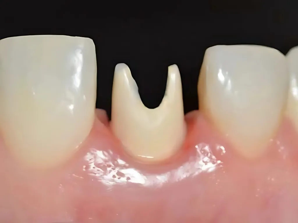
Anterior Bölgede İmplant Uygulaması

Dr. Maurice Salama

vaka_img

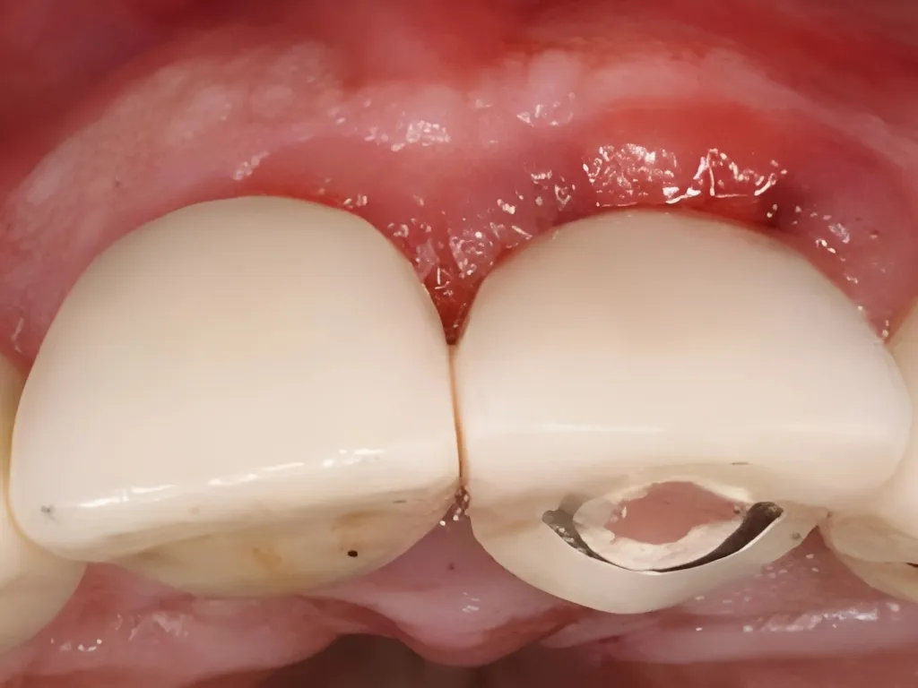
Immediate Geçici Protez Yüklemesi

Dr. Maurice Salama

vaka_img

Çekim Sonrası PRF ile Tedavi

Dr. Maurice Salama

vaka_img

Posterior Rekonstrüksiyon

Dr. Maurice Salama

vaka_img

Soket Yönetimi ve I-Shell

Dr. Maurice Salama

vaka_img

Yumuşak Doku Yönetimiyle Mikrocerrahi

Dr. Maurice Salama

WhatsApp