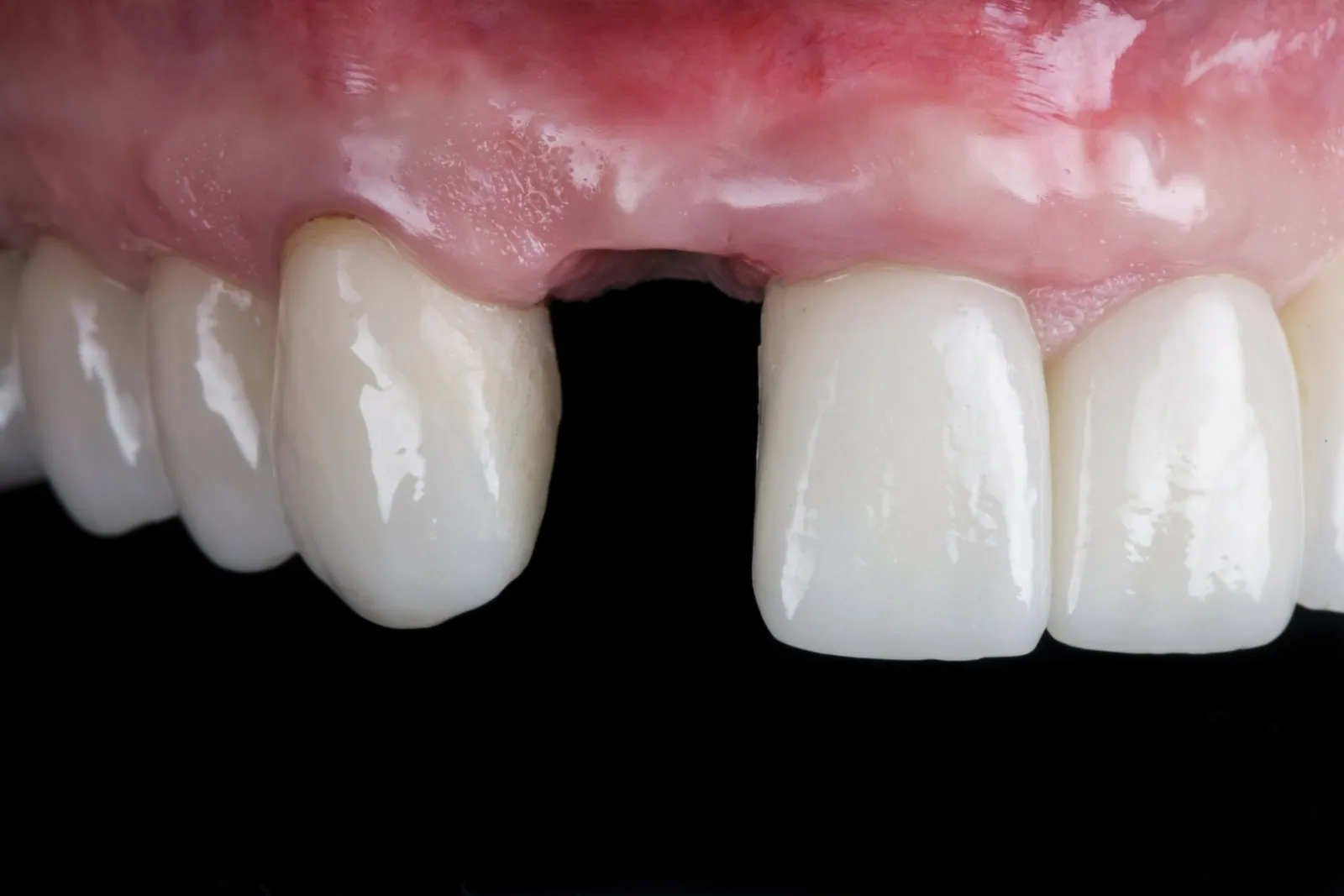
Tek Diş Eksikliği

Tek Diş Eksikliği Neden Olur?

  • icon

    Diş Kaybı

    Diş çürükleri veya periodontal hastalıklar nedeniyle dişin kaybı.

  • icon

    Travmalar

    Spor kazaları, darbe veya düşme gibi olaylar

  • icon

    Hipodonti

    Doğuştan gelen diş eksiklikleri

  • icon

    Başarısız Tedavi

    Kanal tedavisinin başarısız olması ve dişin kurtarılamaması

image

Tek Diş Eksikliğinde Estetik Kaygılar

Tek diş eksikliği, gülümseme hattında yer aldığında estetik sorunlara yol açabilir. Bu durum, bireylerin kendine olan güvenini azaltabilir ve sosyal yaşamında olumsuz etkiler yaratabilir. Eksik dişin yanında bulunan dişlerin yer değiştirmesi, diş diziliminin bozulmasına ve gülümseme estetiğinin olumsuz etkilenmesine neden olabilir.

image

Tek Diş Eksikliğinde Kemik Kayıpları

Eksik bir dişin bulunduğu bölgede, çene kemiği zamanla hacim kaybeder. Bunun nedeni, diş kökü tarafından stimüle edilmeyen kemiğin görevini yitirmesidir. Kemik kaybı, sadece estetik bir problem yaratmakla kalmaz, aynı zamanda ilerleyen dönemlerde diğer dişlerin stabilitesini de tehdit edebilir.

İmplant Uygulanmazsa Yaşanacak Problemler

Tek diş eksikliği tedavi edilmediğinde, aşağıdaki sorunlarla karşılaşabilirsiniz:

Komşu Dişlerde Hareket

Eksik dişin yanındaki dişler, boşluğu doldurmak için hareket edebilir, bu da diş dizilimini bozabilir

Karşı Dişlerin Uzaması

Eksik dişin karşıtı olan üst veya alt çenedeki diş, boşluğa doğru uzayarak kapanış sorunlarına neden olabilir.

Çene Kemiği Erimesi

Eksik dişin bulunduğu bölgedeki çene kemiği hacim kaybeder.

Fonksiyonel Kayıplar

Çiğneme verimliliği azalır ve bu durum sindirim problemlerine yol açabilir.

İmplant Tedavisiyle Giderilen Problemler

Tek diş eksikliği durumunda implant tedavisi, bu sorunları etkin bir şekilde çözebilir:

image

Kemik Kaybını Önler

Diş kökü yerine geçen implant, kemiği stimüle ederek erimeyi durdurur.

image

Estetik Görünümü Düzeltir

Doğal bir görünüm sunar ve gülümseme hattındaki boşluk ortadan kalkar.

image

Fonksiyonel Kazanım

Eksik diş yerine sağlanan implant, doğal dişiniz gibi çiğneme fonksiyonunu geri kazandırır.

image

Komşu Dişlere Destek

Hareket etmelerini engelleyerek diş diziliminin stabilitesini korur.

image

Tek Diş Eksikliğinin Giderilmesinde Ritter İmplant'ın Önemi

Tek diş eksikliği hem estetik hem de fonksiyonel açıdan bireylerin yaşam kalitesini etkileyen bir durumdur. Bu eksikliğin giderilmesinde kullanılan implant sistemleri hem hasta hem de diş hekimi için kritik kararlar gerektirir. Ritter İmplant, bu noktada yenilikçi tasarımları, geniş ürün yelpazesi ve uzun dönem başarı oranlarıyla öne çıkan bir çözüm sunar.

image

Estetik Bölgelerde İmplant

Estetik bölge, gülümseme hattında yer alan dişleri kapsar. Bu bölgelerde implant tedavisinde doğal bir görünüm elde etmek önemlidir. Bu nedenle:

İmplantın yerleştirildiği açı ve derinlik hassasiyetle planlanır.
Üst yapı olarak estetik materyaller (zirkonyum gibi) tercih edilir.
Diş eti hattının doğru tasarımı için özel teknikler uygulanabilir.

Estetik Bölgelerde Ritter İmplant’ın Farkı

Estetik bölgelerde (gülümseme hattında yer alan dişler) veya kemiğin daha ince olduğu durumlarda dar çaplı implantlar tercih edilmesi gerekebilir. Ritter İmplant, 3.0 mm ve 3.3 mm gibi dar çaplı implant seçenekleri sunarak bu hassas bölgelerde etkili bir tedavi imkanı sağlar. Diğer dar implantlara sahip markalarda protez alternatifleri genellikle sınırlıdır.

Ancak Ritter İmplant, dar çaplı implantlarda bile diğer çap seçeneklerindeki gibi geniş protez seçenekleri sunarak hem estetik hem de fonksiyonel beklentileri karşılar. Bu, hastaların gülümseme estetiğini doğru bir şekilde kazanmasını ve uzun dönemli memnuniyetini sağlarken diş hekimini de tedavide doğru protezi seçerken özgür kılar.

image

Arka Bölgelerde İmplant

Arka bölge diş eksikliklerinde estetik kaygılar daha az önemli olsa da çiğneme fonksiyonu kritik bir rol oynar. Bu nedenle:
Daha dayanıklı ve geniş çaplı (yeterli kemik varsa) implant ve sağlam protez materyalleri tercih edilir.
Yüksek çiğneme kuvvetlerine dayanabilecek, uzun dönemde kemik kaybına sebebiyet vermeyecek çözümler sunulur.

Arka Bölgeler için Ritter İmplant’ın Geniş Çap ve Çözüm Yelpazesi

Arka bölgelerde (azı dişleri alanı), çiğneme kuvvetlerinin daha yoğun olduğu bölgelerde, daha geniş çaplı implantlar gereklidir. Ritter İmplant, bu ihtiyacı karşılamak için 3.75, 4.2, 5.0 ve 6.0 mm çaplarında seçenekler sunar.

Bu geniş çap yelpazesi, her hastanın bireysel anatomik yapısına uygun implant seçimini mümkün kılar. Aynı zamanda, Ritter İmplant’ın çok yönlü ve geniş yelpazeli protez çözümleri, arka bölgelerde hem dayanıklı hem de doğal bir çiğneme fonksiyonu sağlar.


  • • Doğal Görünüm: Eksik dişiniz doğal dişinizle uyumlu şekilde tamamlanır.
    • Uzun Ömürlülük: Doğru bakımla implantlarınız yıllarca dayanır.
    • Sağlıklı Ağız Yapısı: Diş dizilimi ve çene kemiğiniz korunur.
    • Gelişmiş Konfor: Geçici çözümlere kıyasla daha fazla rahatlık sunar.

    Tek diş eksikliği tedavisinde implant hem estetik hem de fonksiyonel çözümler sunarak yaşam kalitenizi artırabilir. Uzman bir diş hekimi tarafından yapılacak doğru planlama ile uzun dönem başarı elde edilebilir.

  • Ritter İmplant’ın inovatif tasarımları ve başarısı kanıtlanmış SB/LA yüzeyi, osseointegrasyonu (kemik ile implantın kaynaşması) hızlandırır. Bu yüzey, kan ve kemik etkileşimini optimize ederek daha hızlı ve daha stabil bir kaynama süreci sunar. Bu özellik hem ön hem de arka bölgelerde uzun dönemli başarı oranlarını destekler. Bu sayede hastalar, daha kısa bir iyileşme sürecinin ardından estetik ve fonksiyonel dişlerine kavuşur. Bu durum, özellikle gülümseme hattında yer alan diş eksikliklerinde zamandan tasarruf sağlar ve hasta memnuniyetini artırır.

  • Ritter İmplant, üstün Alman mühendisliği ve %100 Alman üretimi ile güvenilirliğini kanıtlamış bir markadır. Bu özellik hem hekimler hem de hastalar için uzun dönemli başarı oranlarının garantisi anlamına gelir. Ritter’in Alman mühendislik hassasiyeti ile tasarlanmış implantları, her endikasyonda maksimum stabilite ve uyum sağlar.


  • Estetik ve fonksiyonel beklentilere uygun çözümler.
    Geniş implant çap seçenekleriyle farklı anatomilere uyum.
    Kısa iyileşme süreci ile hızlı tedavi.
    Alman mühendisliği ile uzun dönemli başarı garantisi.
    SB/LA yüzeyi ile yüksek stabilite ve sağlamlık.

    Tek diş eksikliğinizin giderilmesinde Ritter İmplant hem yenilikçi tasarımları hem de geniş tedavi seçenekleriyle ideal bir tercih sunar. Uzman diş hekiminizin planlamasıyla Ritter İmplant sayesinde doğal gülümsemenize ve eksiksiz bir çiğneme fonksiyonuna kavuşabilirsiniz.

WhatsApp